Behel Gigi
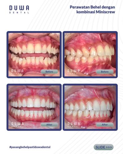
Kawat gigi atau behel adalah salah satu alat yang digunakan untuk mendapatkan susunan gigi rapi dan sehat. Kawat gigi bekerja dengan cara memberikan tekanan ringan ke gigi untuk menggerakkan gigi ke posisi ideal yang direncanakan.
Kawat gigi atau behel adalah salah satu alat yang digunakan untuk mendapatkan susunan gigi rapi dan sehat. Kawat gigi bekerja dengan cara memberikan tekanan ringan ke gigi untuk menggerakkan gigi ke posisi ideal yang direncanakan.